عظمة الترقوة عند الأطفال

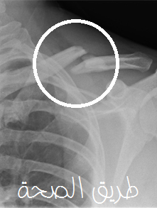
كسر عظم الترقوة عند الطفل حديث الولادة

كسر عظم الترقوة عند الطفل حديث الولادة

كسر الترقوة إصابات الأطفال والشباب الشائعة البيان الصحي مقالات ودراسات البيان

كسر الترقوة إصابات الأطفال والشباب الشائعة البيان الصحي مقالات ودراسات البيان

كسر عظم الترقوة عيادة الأطفال نابلس

كسر عظم الترقوة عيادة الأطفال نابلس

العظام والمفاصل والعضلات خبير الاعشاب والتغذية العلاجية خبير الاعشاب عطار صويلح عظم الترقوة

العظام والمفاصل والعضلات خبير الاعشاب والتغذية العلاجية خبير الاعشاب عطار صويلح عظم الترقوة

كسر عظمة الترقوة عند المواليد أ د مركز رحمة لطب الأطفال Facebook

كسر عظمة الترقوة عند المواليد أ د مركز رحمة لطب الأطفال Facebook

علاج كسر في الترقوة في الأطفال

علاج كسر في الترقوة في الأطفال

علاج كسر في الترقوة في الأطفال

الأطفال والمراهقون وكبار السن أكثر عرضة لكسور عظمة الترقوة اعرف السبب الجمال نت

الأطفال والمراهقون وكبار السن أكثر عرضة لكسور عظمة الترقوة اعرف السبب الجمال نت

ما هي عظمة الترقوة وفوائدها المختلفة ويب طب

ما هي عظمة الترقوة وفوائدها المختلفة ويب طب

كسور عظم الترقوة

كسور عظم الترقوة

مضاعفات كسر عظمة الترقوة وطرق علاجه سطور

مضاعفات كسر عظمة الترقوة وطرق علاجه سطور

كسر الترقوة ما هي مضاعفات الكسر وكيفية علاجه طب فاكت

كسر الترقوة ما هي مضاعفات الكسر وكيفية علاجه طب فاكت

ترقوة مكسورة الأعراض والأسباب Mayo Clinic مايو كلينك

ترقوة مكسورة الأعراض والأسباب Mayo Clinic مايو كلينك

الأطفال والمراهقون وكبار السن أكثر عرضة لكسور عظمة الترقوة اعرف السبب اليوم السابع

الأطفال والمراهقون وكبار السن أكثر عرضة لكسور عظمة الترقوة اعرف السبب اليوم السابع

كسر الترقوة عند الأطفال طب الأطفال جراحة العظام والكسور الأطفال

كسر الترقوة عند الأطفال طب الأطفال جراحة العظام والكسور الأطفال

فيديو كسر عظم الترقوة عند الطفل حديث الولادة

فيديو كسر عظم الترقوة عند الطفل حديث الولادة

طرق إسعاف كسور عظام الطرف العلوى Test

طرق إسعاف كسور عظام الطرف العلوى Test

كسر عظمة الترقوة Fracture Clavicle عظمة عيادة الدكتور طه محمود الكناني أخصائي جراحة العظام والكسور والمفاصل Facebook

كسر عظمة الترقوة Fracture Clavicle عظمة عيادة الدكتور طه محمود الكناني أخصائي جراحة العظام والكسور والمفاصل Facebook

علاج عظم الترقوة تعرف على أسباب الام عظمة الترقوة وطرق العلاج الويبكالة كوم

علاج عظم الترقوة تعرف على أسباب الام عظمة الترقوة وطرق العلاج الويبكالة كوم

الشفاء من كسر عظم الترقوة صحتك بين يديك Dw 30 05 2013

الشفاء من كسر عظم الترقوة صحتك بين يديك Dw 30 05 2013

تجبير عظمة الترقوة سطور

تجبير عظمة الترقوة سطور

Source : pinterest.com